We have had a rather bitter-sweet weekend…
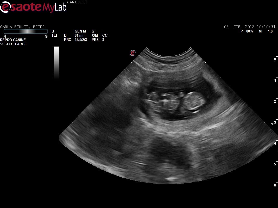
We did a pregnancy scan on Carla last week and luckily the trip to Holland was a succes. Carla is expecting puppies and the vet has set the due date at March 11th – needless to say we are very excited!! This will be our first litter in 10 years, the first litter of puppies our children will experience and our very first litter of PBGVs – so this is truly huge for us in many ways! ;o)

Sadly the good news of Carla’s puppies was overshadowed Sunday evening, when we had to say goodbye to our English Bulldog Jelly… Jelly had had some bloody discharge during the day but suddenly started bleeding heavily in the evening. We took her to the vet immediately after and the vet found that she had a bad case of pyometra (:livmoderbetændelse) and the only solution would be surgery to remove her uterus. Jelly was 9 years old and we didn’t think it would be fair to put her through surgery – so we decided to say goodbye to her Sunday evening…

